Pessimistinkään ei tarvinnut pettyä!
Xeman terveystulokset tulivat! Lonkat A/A!!! Kyynärät 0/0!!! Kyynärät olivat tärkeät meille. Nyt voin rauhassa jatkaa agilityä kyynärten osalta.
Viime perjantaina 20.11. meillä kävi koirafysioterapeutti Noora, joka sai kunnian olla Xeman ensimmäinen fysioterapeutti. Xema oli todella nätisti ja saatiin kaikki liikkeet namin avulla katsottua. Lopuksi hieronnassa Noora kehui miten rauhallinen Xema oli, vaikka onkin noin nuori ja muuten täynnä virtaa. Olen siis opettanut hyvin Xeman rauhoittumaan pennusta lähtien. Pidin kuitenkin kättä Xeman pään päällä ja rapsuttelin sitä samalla. Xema oli täysin terve, ei mitään hoidettavaa.
Polvissa ei muuta poikkeavaa, mutta polvilumpiot hieman löysän tuntuiset, asettuvat lateraalisesti ellei raajaa aseta suoraksi käsin, tuolloin lumpio on oikeassa paikassa. Nyt ei rutinaa tms.
- Harj. 1:
istumasta seisomaan ensin jalkojen välissä tai suoraa edestä niin, että istuu jalat vartalon alla.
- Harj. 2:
sama harjoite, mutta ej korokkeella, matala laatikko ensin.
- Harj. 3:
Näitä kahta toteuttaessa samalla voi ulkona tehdä mäkilähtöjä hyvästä istuma-asennosta.
- Harj. 4:
Oravaistunta, siitä seisomaan ja takas istumaan. Auta tarvittaessa tukemalla ej:sta tuomalla tasapainoa. Toistoja 3-5 alkuun, kun sujuu niin voit tehdä 10 toistoa.
Lateraalisiin ykkösen polviin oli alunperin tarkoitus saada etureisien vahvistavia jumppaliikkeitä. Tulen varmasti kuvaamaan meidän sessioita, joten ne keitä kiinnostaa niin löytävät videot minun Youtube-kanavalta, Ida Alexandersson.
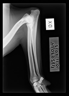
![]() |
| Kyynär 0 |
![]() |
| Kyynär 0 |
![]() |
| Lonkat A/A |
Selästä löytyi LTV1 eli jakautunut ristiluun keskiharjanne, joka on LTV:n lievin muoto, jossa nikaman keskiharjanteessa on painauma 1. ja 2. ristinikaman välissä. Tämä "on yleinen synnynnäinen ja perinnöllinen nikamaepämuodostuma"[Kennelliitto]. Xeman nikamaepämuodostuma löytyy ensimmäisestä ristiluun nikamasta (S1), jota myös kutsutaan lumbalisaatioksi. Lumbalisaatio tarkoittaa: ristinikaman lannenikamoituminen (ylin ristinikamista jäänyt erilleen ristiluusta)[tohtori]. LTV1:tä "ei tutkimusmateriaalissa käsitelty varsinaisena välimuotoisena lanne-ristinikamana vaan rajatapauksena. Muutos luokiteltiin rajatapaukseksi johtuen Salomaan (2010) tutkimuksessa saaduista tuloksista, joiden perusteella tyypin 1 muutos saattaa näyttää sivukuvassa täysin normaalilta ristiluulta."[Nyyssönen]. LTV1:tä kuulemma kutsutaan "kauneusvirheeksi", muutokseksi, jonka ei pitäisi vaikuttaa koiran elämään. Eli Xeman kanssa voidaan jatkaa agilityä, mutta tietenkin seuraillaan jos tulee jotain poikkeavaa, kuten rimojen pudotuksia.
![]() |
| LTV1 näkyy röntgenkuvassa rakona (musta nuoli). Ristiluun keskiharjanne näkyy yhtenäisenä viivana (valkoinen nuoli). Katso tarkemmin vertailu: Kennelliitto |
![]() |
| Ei painaumaa keskiharjanteessa (valkoiset nuolet). Rajatapauksessa sivunikamat näyttävät normaalilta sivukuvassa. Katso tarkemmin vertailu: Kennelliitto |
![]() |
| S4 löytyy Xemalta, yleensä vain S1-S3. Eli Xemalla on muu lievästi normaalista poikkeava rakenne, jotka ovat kuitenkin yhteen luutuneet [Kennelliitto]. |
Havainnot:
"Seisoma-asennossa hyvin kulmautunut, välillä pihdissä kintereistä ulkokierteisesti. Sama tapahtuu makuusta -> liikkeelle lähtöön, leveä asento. Käynnissä ja ravissa kyynärät ulkona (se oli jo tiedossa). Nivelet olivat hyvin liikkuvia ja selässäkin kaikki kunnossa. Tasapaino ja kehonhallinta kunnossa.Polvissa ei muuta poikkeavaa, mutta polvilumpiot hieman löysän tuntuiset, asettuvat lateraalisesti ellei raajaa aseta suoraksi käsin, tuolloin lumpio on oikeassa paikassa. Nyt ei rutinaa tms.
Johtopäätökset:
"Tällä hetkellä täysin kunnossa oleva nuori koira, jolla patellaluksaation lievin muoto, jalkojen asento provosoi luksaation mahdollisuutta. Jumppaamalla vahvistetaan etureisiä ja pidetään sen avulla luksaation riski minimaalisena."Kotiohjeet
Reisiharjoitteet (toistoja alkuun 5-10, sitten kun liike hallussa niin voi tehdä 15-20, liikkeet mielellään koiran ollessa lämmin esim. lenkin jälkeen. Harjoitteet 3-5 x vkossa)- Harj. 1:
istumasta seisomaan ensin jalkojen välissä tai suoraa edestä niin, että istuu jalat vartalon alla.
- Harj. 2:
sama harjoite, mutta ej korokkeella, matala laatikko ensin.
- Harj. 3:
Näitä kahta toteuttaessa samalla voi ulkona tehdä mäkilähtöjä hyvästä istuma-asennosta.
- Harj. 4:
Oravaistunta, siitä seisomaan ja takas istumaan. Auta tarvittaessa tukemalla ej:sta tuomalla tasapainoa. Toistoja 3-5 alkuun, kun sujuu niin voit tehdä 10 toistoa.
Lateraalisiin ykkösen polviin oli alunperin tarkoitus saada etureisien vahvistavia jumppaliikkeitä. Tulen varmasti kuvaamaan meidän sessioita, joten ne keitä kiinnostaa niin löytävät videot minun Youtube-kanavalta, Ida Alexandersson.






Ihana Xema! Ja onnea terveen papereista! :) Kiva blogi myös!
VastaaPoistaKiitos Heli! (:
Poista